Skip to content
About Us
Our Services
Meet Our Doctor
Meet Our Team
Our Vision
Why Choose Us
Blogs
Cosmetic Dentistry
Implant Dentistry
Invisalign Clear Braces
Emergency Dental Care
Restorative Dentitry
Preventive Dentistry
Advanced Technology
Search All Blogs
Smile Gallery
Porcelain Veneers
Composite Veneers
Black Triangle
Dental Implants
White Spot Removal
Dentures
Patient Testimonials
Contact Us
Refer a Friend
Take our Office Tour
Our Social Media
About Us
Our Services
Meet Our Doctor
Meet Our Team
Our Vision
Why Choose Us
Blogs
Cosmetic Dentistry
Implant Dentistry
Invisalign Clear Braces
Emergency Dental Care
Restorative Dentitry
Preventive Dentistry
Advanced Technology
Search All Blogs
Smile Gallery
Porcelain Veneers
Composite Veneers
Black Triangle
Dental Implants
White Spot Removal
Dentures
Patient Testimonials
Contact Us
Refer a Friend
Take our Office Tour
Our Social Media
About Us
Our Services
Meet Our Doctor
Meet Our Team
Our Vision
Why Choose Us
Blogs
Cosmetic Dentistry
Implant Dentistry
Invisalign Clear Braces
Emergency Dental Care
Restorative Dentitry
Preventive Dentistry
Advanced Technology
Search All Blogs
Smile Gallery
Porcelain Veneers
Composite Veneers
Black Triangle
Dental Implants
White Spot Removal
Dentures
Patient Testimonials
Contact Us
Refer a Friend
Take our Office Tour
Our Social Media
Hiring Now
(614) MY-SMILE
BOOK AN APPOINTMENT
WHITE SPOT REMOVAL BY DR.SADINENI
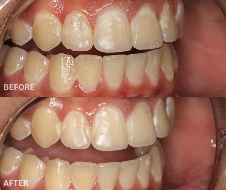
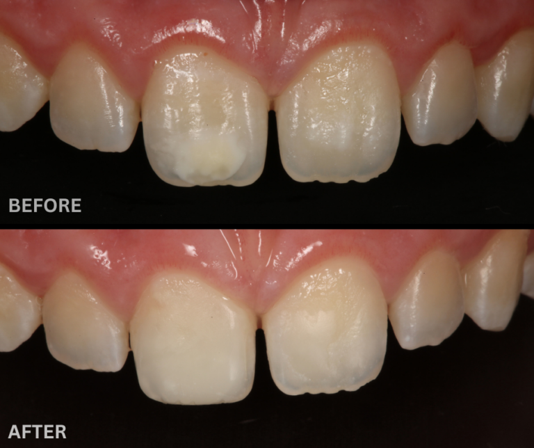
Cassandra's Smile Journey at Dublin Metro Dental
patient concern: prominent white spot on upper front tooth
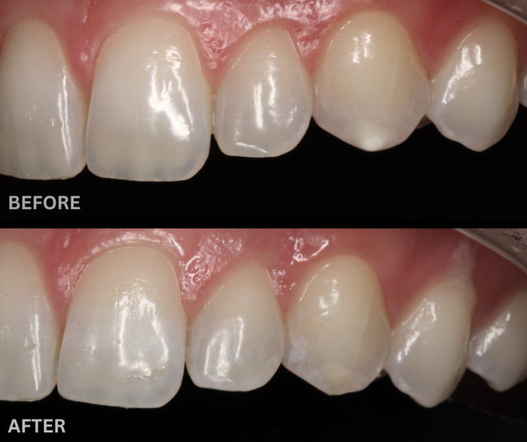
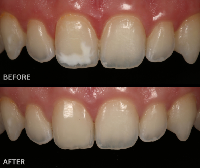
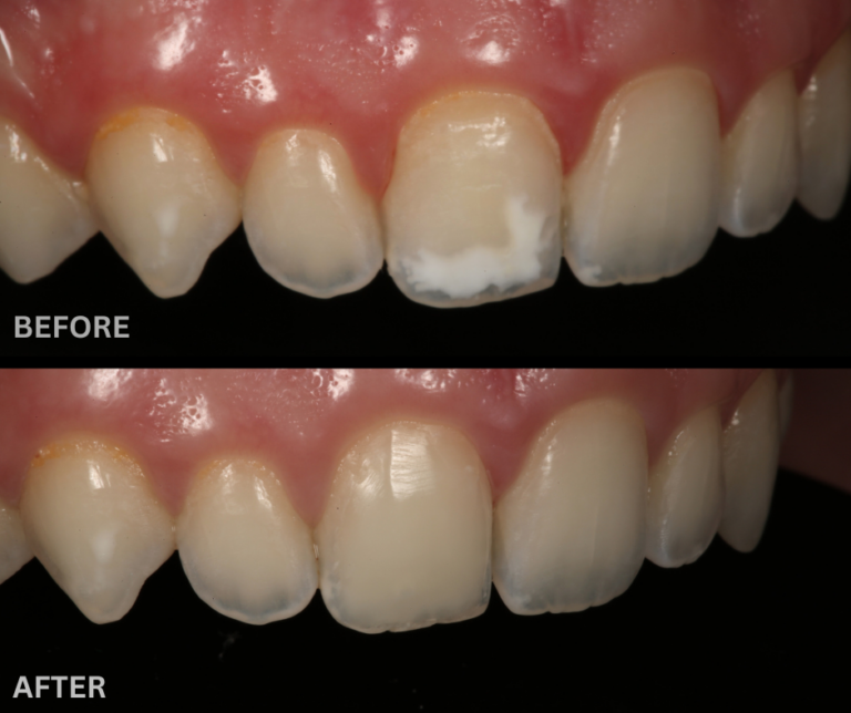
Taylor's Smile Journey at Dublin Metro Dental
patient concern: spots & lesions after metal braces removal
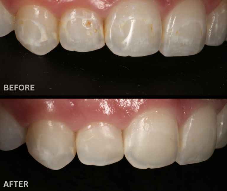
Ashley's Smile Journey at Dublin Metro Dental
patient concern: white spots on all top front teeth making her feel shy
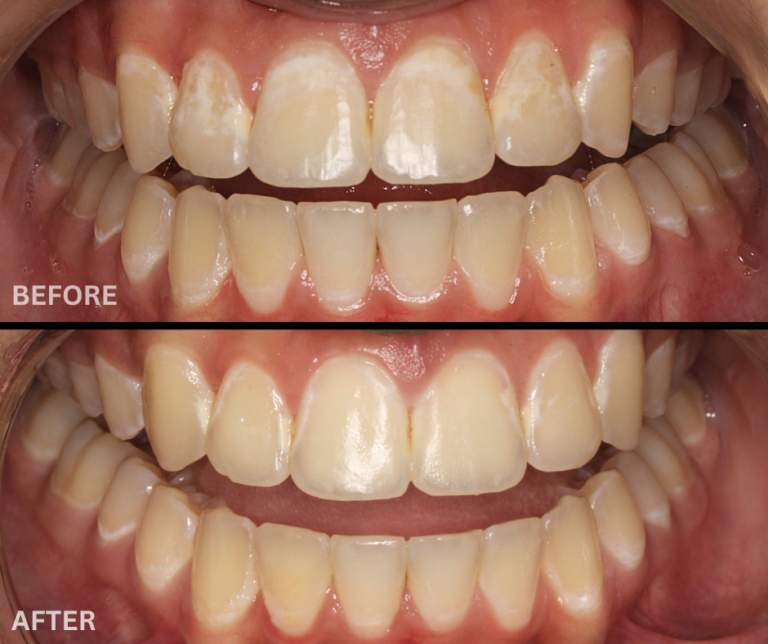
Kylie's Smile Journey at Dublin Metro Dental
patient concern: white spots on top front teeth making her feel shy
Emma's Smile Journey at Dublin Metro Dental
patient concern: prominent white spots on upper teeth
Kristen's Smile Journey at Dublin Metro Dental
patient concern: prominent white spots on canine and lower teeth
Jaisa's Smile Journey at Dublin Metro Dental
patient concern: prominent white spots on all upper teeth
Samridhi's Smile Journey at Dublin Metro Dental
patient concern: prominent white spots on all upper teeth
Rachel's Smile Journey at Dublin Metro Dental
patient concern: prominent white spot upper canine tooth
Claire's Smile Journey at Dublin Metro Dental
patient concern: prominent white spot on upper tooth
VIEW OUR SMILE GALLERY
Click on the Services Below to see our Before-After Smile
Photos of our
Latest Transformations
Say Yes
to a Healthier Smile
Don’t wait for dental problems to grow—schedule your visit today and keep your smile shining bright.
First name
Last name
Phone Number
📅 Select Your Date
Email Address
Email Address
Reason for your Visit
Schedule a New Patient Appointment
Schedule a Telehealth Smile Consultation
Previously Discussed Treatment
Other
Message
Submit